Longkanker
Longkanker is één van de drie meest voorkomende vormen van kanker. Kansen op genezing zijn bijzonder gering. U loopt wel minder gevaar om de ziekte te krijgen als u niet rookt. Ook door blootstelling aan asbest, radon en overmatige röntgenstraling te vermijden kunt u het risico verkleinen.
Longkanker is een tumor die ontstaat in het longweefsel. Artsen gebruiken ook de term "longcarcinoom". Longkanker is na prostaatkanker de tweede meest voorkomende kanker bij mannen, bij vrouwen de derde na borst- en darmkanker. Het is de meest dodelijke vorm van kanker. De leeftijdsgroep van 65 tot 80 jaar wordt het vaakst getroffen. De gemiddelde leeftijd waarop in België de diagnose wordt gesteld, is 68 jaar bij de mannen en 65 jaar bij de vrouwen.
Twee types
De twee meest voorkomende types van longkanker (meer dan 95% van alle gevallen) zijn:
- het kleincellige longcarcinoom (small cell lung cancer - SCLC);
- het niet-kleincellige longcarcinoom (non-small cell lung cancer - NSCLC).
De eerste vorm is minder frequent dan de tweede, maar wel een stuk kwaadaardiger. De twee soorten kanker ontstaan in verschillende cellen van de bronchiën. Onder de microscoop zien de kankercellen er niet hetzelfde uit. Dat verschil heeft geleid tot de opdeling in kleincellig en niet-kleincellig longcarcinoom. De verschillende vormen van kanker ontwikkelen zich anders en reageren ook anders op de behandelingen, vandaar het belang om het onderscheid te maken bij de diagnose.
Kleincellige kankers zijn zeer agressief en groeien snel. Bij diagnose is er bij zowat 80% van de patiënten al sprake van uitzaaiingen. De meer frequente niet-kleincellige kankers (goed voor zowat 75% van de gevallen) vormen een heterogene groep, met als belangrijkste subsoorten het plaveiselcelcarcinoom, het adenocarcinoom en het grootcellig longcarcinoom.
Niet-kleincellige kankers groeien en verspreiden zich trager. Bij diagnose is er bij "slechts" 40% van de patiënten al sprake van uitzaaiingen buiten de borstkas.
Longkanker is een tumor die ontstaat in het longweefsel. Artsen gebruiken ook de term "longcarcinoom". Longkanker is na prostaatkanker de tweede meest voorkomende kanker bij mannen, bij vrouwen de derde na borst- en darmkanker. Het is de meest dodelijke vorm van kanker. De leeftijdsgroep van 65 tot 80 jaar wordt het vaakst getroffen. De gemiddelde leeftijd waarop in België de diagnose wordt gesteld, is 68 jaar bij de mannen en 65 jaar bij de vrouwen.
Twee types
De twee meest voorkomende types van longkanker (meer dan 95% van alle gevallen) zijn:
- het kleincellige longcarcinoom (small cell lung cancer - SCLC);
- het niet-kleincellige longcarcinoom (non-small cell lung cancer - NSCLC).
De eerste vorm is minder frequent dan de tweede, maar wel een stuk kwaadaardiger. De twee soorten kanker ontstaan in verschillende cellen van de bronchiën. Onder de microscoop zien de kankercellen er niet hetzelfde uit. Dat verschil heeft geleid tot de opdeling in kleincellig en niet-kleincellig longcarcinoom. De verschillende vormen van kanker ontwikkelen zich anders en reageren ook anders op de behandelingen, vandaar het belang om het onderscheid te maken bij de diagnose.
Kleincellige kankers zijn zeer agressief en groeien snel. Bij diagnose is er bij zowat 80% van de patiënten al sprake van uitzaaiingen. De meer frequente niet-kleincellige kankers (goed voor zowat 75% van de gevallen) vormen een heterogene groep, met als belangrijkste subsoorten het plaveiselcelcarcinoom, het adenocarcinoom en het grootcellig longcarcinoom.
Niet-kleincellige kankers groeien en verspreiden zich trager. Bij diagnose is er bij "slechts" 40% van de patiënten al sprake van uitzaaiingen buiten de borstkas.
De symptomen van longkanker zijn afhankelijk van het type, de plaats en de wijze waarop de tumor uitzaait. Kleine kankers geven vaak geen klachten: soms worden ze toevallig ontdekt. Bijvoorbeeld bij een röntgenfoto van de borstkas om andere redenen. Meestal ontstaan er pas klachten in een gevorderd stadium. De klachten zijn uiteenlopend, soms vaag, en kunnen ook bij andere ziekten voorkomen.
Mogelijke symptomen zijn:
- Aanhoudende hoest
- Bloed in opgehoest sputum
- Pijn in de borststreek en/of de schouder
- Kortademigheid
- Verminderde eetlust
- Longontsteking die niet reageert op behandeling
- Abnormale en blijvende vermoeidheid
- Schorre stem
- Problemen bij het slikken
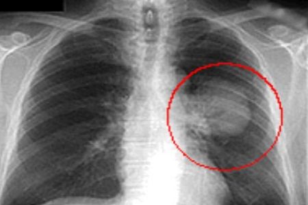
Wanneer een arts op grond van de klachten en de kenmerken van de patiënt meent dat er mogelijk sprake is van longkanker, gebeurt er meestal eerst een radiografie van de borstkas.

Röntgenfoto waarop een tumor zichtbaar is
Daarop volgt dan indien nodig een CT-scan, die onder meer informatie verschaft over de omvang, de uitzaaiing en de kenmerken van de tumor.
In de regel moet de juiste diagnose worden gepreciseerd door analyse van longweefsel. Op welke manier daarvoor de nodige cellen worden verkregen, hangt af van waar de tumor juist zit en hoe gemakkelijk die te bereiken is.
Soms levert opgehoest sputum (slijm met speeksel) voldoende materiaal op voor onderzoek (sputumcytologie).
Er kan een bronchoscopie worden verricht om weefsel te verkrijgen.
Als de tumor zo diep in de longen zit dat de bronchoscoop er niet bij kan, neemt de arts meestal een weefselmonster door een naald door de huid in te brengen onder geleide van een CT-scan (naaldbiopsie).
Soms kan er alleen maar langs operatieve weg een weefselmonster worden verkregen (thoracotomie).
Naargelang van het geval kunnen bijkomende onderzoeken aangewezen zijn.
Wat te doen, hangt af van het type kanker en van hoe ver die al is gevorderd. Maar ook de persoonlijke kenmerken van de patiënt spelen een rol (zijn algemene gezondheidstoestand, zijn leeftijd, enz.).
De globale beoordeling moet uitmonden in een keuze tussen het proberen van een agressieve behandeling met het oog op genezing, het opteren voor palliatieve zorg of het beslissen tot geen behandeling. Zeer algemeen gesteld kan behandeling het volgende inhouden:
- bij kleincellige longkanker: chemotherapie, met of zonder radiotherapie (bestraling), afhankelijk van het stadium van de tumor;
- bij niet-kleincellige kanker kan immuuntherapie worden overwogen of kan worden bekeken of een operatie aan de orde is. Een behandeling met immuuntherapie kan de groei van kankercellen afremmen en/of de mechanismen van kankercellen om je immuunsysteem te misleiden ontregelen. Hierdoor krijgt het immuunsysteem de kans om zelf de kankercellen makkelijker te bestrijden. Een bepaald type van immuuntherapie (medicatie met antilichamen) is ondertussen deel van de standaardbehandeling geworden.
Bij patiënten met een slechte prognose is het belangrijk om tijdig te denken aan palliatieve zorg. Dat kan in sommige gevallen zelfs het leven verlengen, door het vermijden van zinloze agressieve behandelingen (die altijd gepaard gaan met ongewenste bijwerkingen).
Wanneer longkanker wordt vastgesteld (d.w.z. zodra de eerste symptomen optreden die leiden tot een doktersbezoek en een diagnose), is hij meestal al in een te ver gevorderd stadium om nog curatief te kunnen worden behandeld.
In meer dan de helft van de gevallen overlijdt de patiënt binnen het jaar na de diagnose.
De overlevingskans is gering: van de mannelijke patiënten zijn nauwelijks 15% 5 jaar na de diagnose nog in leven, bij de vrouwen is dat ongeveer 20%.
In die cijfers zit al meer dan een halve eeuw zo goed als geen evolutie. Het sterftecijfer blijft erg hoog. Er is de laatste decennia maar heel weinig vooruitgang geboekt. Hooguit kan het "leven" nu met enkele maanden meer worden verlengd dan vroeger.
De meeste longkankers die vandaag worden vastgesteld, hadden vermeden kunnen worden. Het merendeel ontstaat nameliljk door tabaksgebruik.Slechts 15 à 20% van de personen die longkanker krijgen, hebben nooit of omzeggens nooit gerookt.
Er zijn nog enkele andere oorzaken die het risico op longkanker kunnen verhogen: asbest, radon, blootstelling aan bepaalde stoffen op het werk, luchtvervuiling, röntgenstraling bij medische onderzoeken… U kunt dus wellicht iets doen om het risico op de ziekte wat terug te dringen: de nodige voorzorgen nemen als u oude bouwmaterialen verwijdert die mogelijk asbest bevatten, geen röntgenfoto’s laten nemen als het niet echt nodig is, de nodige maatregelen treffen als er radongas in uw woning aanwezig is…
Vermoed wordt dat ook genetische factoren een rol spelen. Niet alle rokers ontwikkelen immers de ziekte, en anderzijds zijn er ook personen die nooit hebben gerookt en toch longkanker krijgen. Er bestaat naar alle waarschijnlijkheid een zekere genetisch bepaalde gevoeligheid voor kankerverwekkende stoffen in de leefomgeving, maar op basis daarvan realistische preventiemaatregelen uitwerken is niet mogelijk.
Omstreden denkpiste
Hoe staat het met de vroegtijdige opsporing van longkanker? Eerdere pogingen (via radiografie of analyse van opgehoeste slijmen) leverden geen gunstige resultaten op. Vandaag focust men veeleer op screening via scanning (de zogenaamde CT-scan of tomodensitometrie). Die maakt net zoals klassieke radiografie gebruik van röntgenstralen, maar brengt veel meer details aan het licht. Volgens voorstanders kan een regelmatige screening van risicogroepen levens redden. De stemmen die opgaan voor een dergelijke screening stuiten echter op heel wat kritiek.Eén Amerikaanse studie
Op dit ogenblik zijn de argumenten pro screening voornamelijk gebaseerd op de National Lung cancer Screening Trial, een Amerikaanse studie uitgevoerd bij meer dan 50 000 mensen met verhoogd risico op longkanker, onder meer rokers in de leeftijdsgroep van 55 tot 74 jaar die gedurende 30 jaar een pakje sigaretten per dag hadden gerookt.Screening deed de absolute overlijdenskans door kanker in deze groep dalen van 1,6% naar 1,3%. In totaal waren er 1 877 overlijdens in de gescande groep, tegen 2 000 in de referentiegroep (ongeacht de doodsoorzaken).
Nood aan kwaliteitsnormen en controles
Er zijn heel wat goede redenen om niet overhaast te werk te gaan. Zo zijn er momenteel geen echte kwaliteitsgaranties. De NLST-studie werd uitgevoerd met de medewerking van gespecialiseerde centra, met radiologen die opgeleid waren om de scans zo correct mogelijk te beoordelen. Alle daaropvolgende behandelingen gebeurden ook volgens de regels van de kunst en in ideale omstandigheden. Die omstandigheden zijn op dit ogenblik ver van overal voorhanden. Een Franse studie wees uit dat individuele screenings, die daar al een dagelijkse realiteit zijn, in de praktijk vaak op een onjuiste manier worden uitgevoerd. Op dit moment zouden wij rokers niet durven adviseren zich te laten screenen: een screening die niet op een correcte manier verloopt, brengt doorgaans meer risico’s dan voordelen met zich mee. Er zijn kwaliteitsnormen en controles op de naleving daarvan nodig, zowel wat de screenings zelf betreft, als voor de zorgverstrekking in het geval dat er kanker wordt vastgesteld.Gevaar voor risicovolle overbodige onderzoeken
Voorts bestaat het gevaar dat er tal van nutteloze onderzoeken worden verricht. Na ook niet geheel risicovrij aanvullend onderzoek bleken uiteindelijk niet minder dan 96% van de waargenomen anomalieën in feite "vals positief" te zijn. Het ging m.a.w. om vals alarm (geen kanker). Enkele levens redden gebeurt dus ten koste van veelvuldige foute vaststellingen die veel nutteloos bijkomend onderzoek vereisen, dat op zijn beurt weer tot complicaties kan leiden.
Ook eigen aan screenings is dat ze verdachte letsels aan het licht brengen die zich normaliter nooit verder zouden ontwikkelen, of zo langzaam dat ze nooit problemen zouden veroorzaken. Screening geeft dus ook aanleiding tot zinloze behandelingen, die op hun beurt niet vrij zijn van risico’s en ongewenste neveneffecten. Alvorens systematische screening van longkanker in te voeren, moet duidelijker worden bepaald hoeveel van de opgespoorde kankers indolent, d.w.z. niet-agressief zijn en geen behandeling vereisen.
Eerst moet ook de ideale frequentie van screenings worden bepaald. Jaarlijks? Om de 2 jaar? Hoeveel jaren na elkaar? Tot op welke leeftijd?
Tot slot moet worden beklemtoond dat de Amerikaanse NLST-studie op dit ogenblik (2014) de enige is die op overtuigende wijze een levenssparend effect aantoont bij screening van een hoogrisicopopulatie. De resultaten van Europese studies zijn vooralsnog niet even overtuigend.
