Multiple sclerose
Multiple sclerose of MS is een ongeneeslijke aandoening van het zenuwstelsel. De symptomen kunnen zeer ingrijpend zijn. Maar de behandelingen blijven evolueren, zodat een kwaliteitsvol leven toch mogelijk is.
Naar schatting lijden 10 000 landgenoten aan multiple sclerose of MS. Elk jaar krijgen 450 personen die diagnose te horen.
Auto-immuunziekte
MS is een auto-immuunziekte, waarbij het lichaam de eigen zenuwen aantast. Hierdoor raakt de communicatie in het lichaam verstoord. Als u bijvoorbeeld typt, sturen uw hersenen uw vingers aan door impulsen te versturen via zenuwbanen en zenuwcellen.
De zenuwbanen zijn omhuld door een eiwitrijke laag, myeline. Die laag versnelt de doorgave van zenuwimpulsen naar andere delen van ons lichaam. Raakt de myeline beschadigd, zoals bij multiple sclerose, dan komt de zenuwgeleiding in het gedrang en worden de zenuwimpulsen vertraagd of geblokkeerd.
Helaas is MS niet te genezen. Maar dankzij verschillende behandelingen kan een relatief normaal leven toch mogelijk zijn.
Geen specifieke oorzaak
De exacte oorzaak van MS is niet bekend, maar specialisten vermoeden dat een combinatie van genetische aanleg, omgevingsfactoren en blootstelling aan bepaalde infecties aan de basis ligt. Zo heeft 15 % van de MS-patiënten een naaste verwante met dezelfde aandoening. En als de ene helft van een eeneiige tweeling MS heeft, loopt ook de andere 30 % kans. Daarnaast komt MS vaker voor in een gematigd dan in een tropisch klimaat. Tot slot zou een eerdere infectie door een nog ongekend virus later de reactie van het immuunsysteem kunnen uitlokken. Ook roken verhoogt het risico. Iedereen kan de ziekte krijgen, maar de diagnose van de meest courante vorm wordt meestal gesteld tussen de leeftijd van 20 en 40 jaar en vaker bij vrouwen dan bij mannen.Naar schatting lijden 10 000 landgenoten aan multiple sclerose of MS. Elk jaar krijgen 450 personen die diagnose te horen.
Auto-immuunziekte
MS is een auto-immuunziekte, waarbij het lichaam de eigen zenuwen aantast. Hierdoor raakt de communicatie in het lichaam verstoord. Als u bijvoorbeeld typt, sturen uw hersenen uw vingers aan door impulsen te versturen via zenuwbanen en zenuwcellen.
De zenuwbanen zijn omhuld door een eiwitrijke laag, myeline. Die laag versnelt de doorgave van zenuwimpulsen naar andere delen van ons lichaam. Raakt de myeline beschadigd, zoals bij multiple sclerose, dan komt de zenuwgeleiding in het gedrang en worden de zenuwimpulsen vertraagd of geblokkeerd.
Helaas is MS niet te genezen. Maar dankzij verschillende behandelingen kan een relatief normaal leven toch mogelijk zijn.
Geen specifieke oorzaak
De exacte oorzaak van MS is niet bekend, maar specialisten vermoeden dat een combinatie van genetische aanleg, omgevingsfactoren en blootstelling aan bepaalde infecties aan de basis ligt. Zo heeft 15 % van de MS-patiënten een naaste verwante met dezelfde aandoening. En als de ene helft van een eeneiige tweeling MS heeft, loopt ook de andere 30 % kans. Daarnaast komt MS vaker voor in een gematigd dan in een tropisch klimaat. Tot slot zou een eerdere infectie door een nog ongekend virus later de reactie van het immuunsysteem kunnen uitlokken. Ook roken verhoogt het risico. Iedereen kan de ziekte krijgen, maar de diagnose van de meest courante vorm wordt meestal gesteld tussen de leeftijd van 20 en 40 jaar en vaker bij vrouwen dan bij mannen.MS tast willekeurige zenuwen aan die elk hun eigen functie hebben. De symptomen kunnen dus erg verschillen. Bovendien kunnen ze na verloop van tijd opflakkeren of weer verdwijnen. Ze lijken ook te verergeren bij hoge temperaturen, bijvoorbeeld bij een heet bad, zomerse temperaturen of koorts. Typische symptomen zijn:
- motorische problemen: verslapte spieren, gedeeltelijke of gehele verlamming, stramheid
- beven
- vreemde gewaarwordingen: gevoelloosheid, tintelingen, een branderig gevoel
- pijn
- coördinatie- en evenwichtsproblemen
- aantasting van het zicht: troebel zicht in één oog, kleuren afwijkend zien, gedeeltelijke blindheid, dubbel zicht
Een diagnose stellen is niet altijd gemakkelijk, aangezien de eerste tekenen vaag kunnen zijn. Bovendien kenmerkt multiple sclerose zich dikwijls door fases van opflakkering, herstel en heropleving van de symptomen.
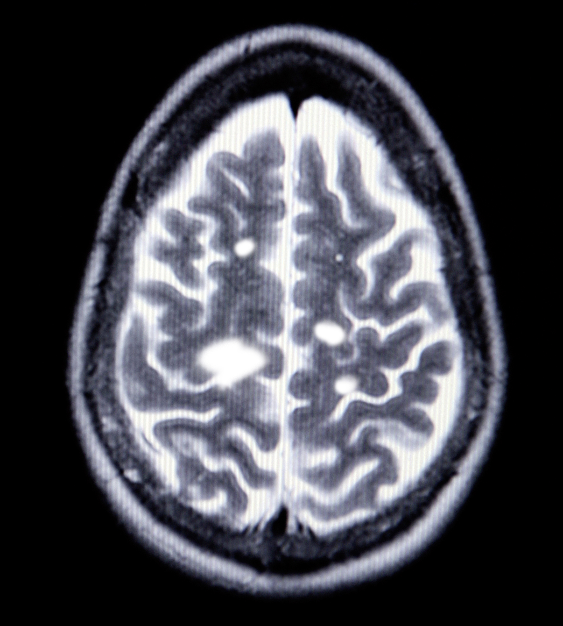
De eerste aanwijzing krijgt de arts gewoonlijk tijdens het lichamelijk onderzoek dat hij uitvoert naar aanleiding van klachten over de typische symptomen (zie hoofdstuk “symptomen”). Bij een vermoeden van MS kan een MRI-scan uitsluitsel bieden.
Aan de hand van een inspuiting met contrastvloeistof toont deze techniek de al dan niet beschadigde myeline in de hersenen.
Heerst er daarna nog onduidelijkheid, dan kan de arts overgaan tot een ruggenmergpunctie (ruggenprik). De waarden van een bepaald eiwit en/of bepaalde antilichamen in het ruggenmergvocht maken namelijk duidelijk of er al dan niet sprake is van MS.
Vaak controleert de arts ook de reactie op bepaalde stimuli, zoals flitslicht, geluiden enz. Bij een persoon met MS is die dikwijls trager doordat de zenuwgeleiding trager verloopt.

De witte vlekken op de MRI-scan van de hersenen zijn de littekens, die ontstaan op plaatsen waar myeline werd afgebroken.

Via de ruggenprik wordt ruggenmergvloeistof voor analyse afgenomen.
Multiple sclerose is niet te genezen. De ziekte kan op verschillende manieren evolueren.
Vier vormen
De meest voorkomende vorm is recidiverende (terugkerende) en herstellende MS. Hierbij wisselen opflakkeringen af met periodes van verbetering. De symptomen keren gewoonlijk terug om de paar jaar (vaak om en bij twee jaar) en kunnen dan 24 uur tot enkele weken duren.
Bij een minderheid is er sprake van primair progressieve MS. Hierbij verergert de ziekte geleidelijk aan, zonder opflakkeringen of herstel. Nu en dan is er wel een periode van stilstand.
Secundair progressieve MS start aanvankelijk als terugkerende en herstellende MS. Daarna volgt een langzame achteruitgang, die niet langer gepaard gaat met noemenswaardige opflakkeringen en verbeteringen.
Een minderheid van de patiënten lijdt aan benigne MS, een milde vorm waarbij er veel tijd tussen de aanvallen zit. De aanvankelijk lichte symptomen zijn echter geen garantie voor de toekomst.

MS met exacerbaties-remissies

Primair progressieve MS

Secundair progressieve MS
Op lange termijn
Naarmate de ziekte vordert kan de patiënt beverig, onregelmatig en ongecontroleerd gaan bewegen, zeker bij een progressief ziekteverloop. Ook willekeurige spiersamentrekkingen (spasmen) zijn mogelijk, met soms pijnlijke krampen tot gevolg. Spierzwakte en –spasmen kunnen het stappen bemoeilijken en uiteindelijk onmogelijk maken.
De patiënt kan ook trager, onduidelijker en onzekerder gaan praten. Voorts kan de ziekte de controle over de blaas en de stoelgang aantasten, wat vaak leidt tot sterke plasdrang, plasmoeilijkheden, constipatie en minder frequent incontinentie.
Op lange termijn kan de patiënt gedeeltelijk of geheel verlamd raken. In sommige gevallen leidt MS tot concentratie- en geheugenproblemen en zelfs dementie.
Het doel van de behandeling is een zo kwaliteitsvol mogelijk leven te behouden. Daarbij is het belangrijk om actief te blijven op een rustig tempo. Activiteiten zoals zwemmen, fietsen, stretchen enz. helpen om de conditie en het evenwicht in orde te houden en gaan spasmen tegen. Daarnaast is medicatie aangewezen om het verloop van de ziekte proberen te remmen, een heropleving zo kort mogelijk proberen te houden en de symptomen aan te pakken.
Disease-modifying therapies
Disease-modifying therapies zouden het ziekteverloop vertragen. Het gaat hier om stoffen die het immuunsysteem beïnvloeden in de brede zin: sommige stimuleren het, andere onderdrukken het. Ze dienen vooral om het aantal en de ernst van de opflakkeringen te verminderen. Hoewel wetenschappers het niet eens zijn over het feit of ze de situatie van de patiënt op zeer lange termijn verbeteren, blijven ze de basisbehandeling bij terugkerende en herstellende MS (zie hoofdstuk “Ziekteverloop”).
Corticosteroïden
Aanvallen van symptomen worden behandeld met corticosteroïden. Deze ontstekingsremmers verkorten een opflakkering. Ze worden enkel voor een korte periode genomen, aangezien ze dienen om een aanval te behandelen en niet te voorkomen. Bovendien is langdurig gebruik schadelijk voor de gezondheid vanwege de vele bijwerkingen.
Medicatie voor andere aandoeningen
De symptomen zijn ook te bestrijden met geneesmiddelen die niet noodzakelijk zijn ontwikkeld om MS aan te pakken. Zo kunnen spierontspanners, zoals baclofen en diazepam, spasmen tegengaan. De bètablokkers clonazepam en propranolol kunnen helpen tegen beven. Antidepressiva kunnen nuttig zijn bij een eventuele depressie. Voorts zou cannabis de symptomen van MS en de last die de patiënt ervaart, enigszins verminderen. In Nederland is deze softdrug in welbepaalde gevallen via de apotheek verkrijgbaar, onder meer bij spastische aandoeningen. In ons land is dat vooralsnog niet het geval.
Niet-medicamenteuze symptoombestrijding
Afhankelijk van de klachten van de patiënt zijn verschillende aanvullende behandelingen mogelijk, zoals kinesitherapie of stretching bij spierklachten, logopedie bij spraakproblemen, psychologische begeleiding om met de ziekte te leren leven enz. Patiënten die roken, zeggen de sigaret ook beter vaarwel, aangezien roken de ziekte in de hand werkt.
